Questa è la tecnica di trattamento dell’alluce valgo con una artroscopia dell’alluce unita ad una osteotomia distale percutanea. Non sempre si usa l’artroscopia, molte volte si riesce anche con mini-incisioni ad ottenere lo stesso risultato.
Per iniziare ….si impicca l’alluce!

Poi con appositi strumenti si lavora all’interno dell’articolazione per pulirla e tagliare un tendine.

Ecco come si vede dentro l’articolazione : si pulisce

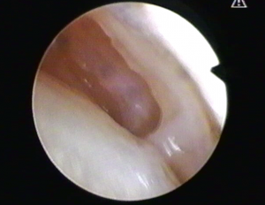
Si taglia il tendine

Eccolo tagliato

Il disegno di cosa si è ottenuto

Mini-incisione, vero?

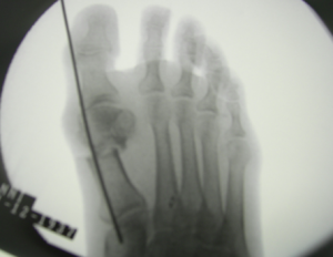
Si taglia l’osso

Una immagine radiografica dopo aver tagliato l’osso e aver posizionato il filo di tenuta

Al termine l’alluce è in posizione corretta

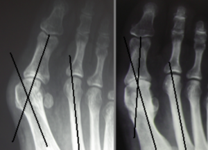
Una radiografia che fa vedere il prima e il dopo
