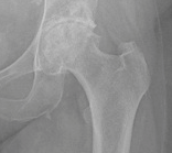
Che cos’è l’artrosi dell’anca
L’artrosi dell’anca è l’evoluzione di una condropatia non trattata: con il trascorrere del tempo la mancanza della cartilagine porta ad un’usura dell’articolazione con conseguente diminuzione dei movimenti e alla comparsa del dolore ogni volta che il paziente sta in piedi o cammina.
La forma di una anca artrosica è completamente diversa da quella normale: è come un ingranaggio danneggiato e, come in ogni “macchina”, se un meccanismo non si può aggiustare, va sostituito con un pezzo di ricambio.
Come si cura
Purtroppo non abbiamo dei pezzi di ricambio originali a disposizione, così dobbiamo accontentarci di sostituti di metallo, ceramica o plastica, anche se il metallo è prezioso (titanio), la ceramica è ad alta resistenza e la plastica è speciale, il polietilene.
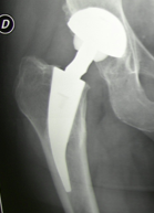
Come è fatta una protesi
La protesi è composta di quattro parti: la prima (lo stelo) è di titanio e viene incastrata nel femore precedentemente preparato; la seconda (la testina), di titanio o di ceramica, ha forma di sfera e permette una am
pia gamma di movimenti; la terza (la cupola), di forma emisferica, si fissa nel bacino ed è anch’essa di titanio; la quarta (l’inserto) si interpone fra la sfera e la emisfero ed è di ceramica o di polietilene.
Questi componenti permettono di riprodurre i movimenti naturali con pochissimo attrito tra di loro, evitando così un’usura del materiale.
La novità
Da molti anni impianto protesi d’anca e spesso mi sono sentito chiedere: “Dottore, quanto dura una protesi?“; la mia risposta a volte stupisce: “Moltissimo! Il problema non è la protesi, ma il fatto che l’osso… è vivo!“.
In effetti i materiali di cui sono fatte al giorno d’oggi le protesi sono resistentissimi e è assai raro che si rovinino con l’andare del tempo; il problema è che l’osso in cui noi mettiamo questi materiali non è un muro, su cui un tassello o un chiodo può rimanere per sempre, ma è un materiale vivo, che reagisce alla presenza di una cosa estranea. Normalmente la prima reazione “incolla” la protesi in maniera che non si muova ma, dopo un tempo variabile, di solito anni e per fortuna non sempre, l’osso vicino al metallo si scioglie e la protesi non è più stabile: questa è la complicanza più temuta, lo scollamento protesico. Temuta perché conduce ad un nuovo intervento chirurgico in cui in cui bisogna mettere una protesi più grande, visto che l’osso in parte si è sciolto.
Ovviamente la quantità di osso è limitata quindi se finisce… sono guai!
Per ridurre al minimo questo rischio da molti anni utilizzo una mini-protesi la cui caratteristica, come dice il nome, è di essere molto più piccola di quelle più usate. Il grande vantaggio è che a parità di efficienza è necessario tagliare poco osso per impiantarle così che la riserva per il futuro è molto più grande! Nei rari casi in cui ho dovuto sostituirla dopo molti anni dalla prima operazione, ho potuto mettere una protesi “normale” senza dover ricorrere a quelle di dimensioni maggiori che spesso si usano.
Vantaggi
Non esiste solo questo vantaggio “futuro” nell’usare protesi a stelo piccolo: nei casi in cui ho messo una mini-protesi ad una persona con dall’altro lato una protesi normale, il paziente mi ha riferito di “non sentire” la protesi, di avere la sensazione di avere un’anca normale. Questo fenomeno è dovuto ad una risposta di un sistema complesso dell’apparato nervoso che si chiama propriocettività:
è responsabile di tante cose ma in particolare della sensazione che abbiamo delle nostre parti del corpo anche senza vederle. Chiudete gli occhi e pensate: sapete dove sono e come sono messi i vostri piedi, vero?
Beh, chi ve lo fa capire è proprio la propriocettività. Una mini protesi è meglio tollerata e dà una sensazione di normalità, molto apprezzata dai pazienti. Inoltre, ovviamente, se la protesi è piccola il taglio per metterla è in proporzione…
I risultati
L’uso di un mini-stelo dà ottimi risultati, assolutamente identici agli steli normali, con in più i vantaggi di cui abbiamo parlato.
A questo punto immagino la domanda “Ma perché non viene usato da tutti, visto che va così bene?”. Le risposte sono principalmente due: spesso cambiare le abitudini è difficile per chi ha meno spirito di iniziativa e la tecnica chirurgica che bisogna apprendere per fare questi interventi richiede una capacità ed un’esperienza che non tutti hanno.
Dal più di 10 anni uso questa procedura e ho impiantato centinaia di protesi con ottimi risultati e ne sono completamente soddisfatto. Pur mettendone più di cento ogni anno, non ho più problemi dei colleghi che ancora usano i modelli più grandi.
